آزمایش کاریوتایپ یک نوع آزمایش سیتوژنتیک است که به بررسی کروموزوم های موجود در سلول ها می پردازد. کروموزوم ها مهم ترین بخش ژنتیک موجودات زنده هستند و نقش مهمی در تعیین ویژگی های فرد، جنسیت، سلامت و بیماری های احتمالی دارند. آزمایش ژنتیک کاریوتایپ می تواند ناهنجاری های مربوط به این بخش را شناسایی کند. پزشکان از آزمایش کاریوتایپ در بارداری نیز استفاده میکنند تا وضعیت کروموزومی جنین و حتی نوزاد را بررسی کنند.
به این ترتیب، خواندن جواب آزمایش کاریوتایپ توسط پزشک اطلاعات مهمی در اختیار افراد میگذارد؛ اما برای آشنایی بهتر با اینکه آزمایش ژنتیک کاریوتایپ چیست و چه کاری انجام میدهد، لازم است با یکسری اطلاعات کلی درباره کروموزوم ها و تست های سیتوژنتیک آشنا شوید.
در ادامه با یک مقاله کوتاه، مهم ترین نکات سیتوژنتیک و آزمایش تعیین کاریوتایپ را بررسی کنیم تا ببینیم آزمایش کاریوتایپ چه چیزی را نشان می دهد.
برای درخواست هرگونه مشاوره ژنتیک، انجام آزمایش کاریوتایپ و ثبت درخواست تلفنی نمونهگیری (در آزمایشگاه، منزل، محل کار)
با تلفن ۱۶۵۰ برای استان تهران و تلفن ۸۸۷۰۹۹۷۰-۰۲۱ برای دیگر استانها
با آزمایشگاه پاتوبیولوژی و ژنتیک پزشکی تهران لب تماس بگیرید.
آزمایش سیتوژنتیک چیست؟
کروموزوم به بخشی از ژن گفته میشود که اطلاعات DNA را شامل میشود؛ تعداد و شکل کروموزوم ها، چگونگی رشد و تکامل موجودات زنده را مشخص میکند. انسان ها به طور معمول ۴۶ کروموزوم دارند که به ۲۳ جفت تقسیم می شوند. ۲۲ جفت از این کروموزوم ها مشابه هستند و یک جفت آنها جنسیت را تعیین می کنند. این جفت، به عنوان کروموزوم های جنسی شناخته می شوند و در زنان شامل XX و در مردان شاملXY هستند.
گاهی اوقات، کروموزوم های بدن دچار اختلال یا جهش میشوند و بیماری های ژنتیکی مثل سندرم داون، سندرم ادواردز و صدها بیماری دیگر را به وجود می آورند.
آزمایش سیتوژنتیک، به گروهی از آزمایش های ژنتیکی گفته میشود که به بررسی کروموزوم های سلول می پردازد و ناهنجاری های ژنتیکی مانند اختلال در تعداد، گاها حذف شدگی، اضافه شدگی و… را شناسایی می کند. آزمایش ژنتیکی کاریوتایپ یکی از انواع تست های سیتوژنتیکی است که کاربردهای گسترده ای در تشخیص برخی از این موارد دارد.
ممکن است سوال پیش بیاید که آزمایش سیتوژنتیک برای چه مواردی پیشنهاد میشود؟ باید گفت از انواع این آزمایش میتوان برای موارد زیر استفاده کرد:
- تشخیص برخی از اختلالات ژنتیکی مانند سندرم داون، سندرم کلاین فلتر، سندرم ترنر و غیره.
- تشخیص برخی از سرطان های خون مانند لوسمی یا لنفوم.
- تشخیص علت ناباروری، سقط مکرر یا مرده زایی.
- بررسی وضعیت کروموزومی جنین قبل از تولد.
* آزمایش کاریوتایپ برای چیست؟
در این نوع از آزمایش سیتوژنتیک، کروموزوم های سلولی به صورت جفت جفت مقایسه شده و نقشه برداری می شود تا ناهنجاری های کروموزومی را شناسایی کند. کاریوتایپ کروموزومی دارای کاربردهای مختلفی است که در این قسمت به آنها پرداخته خواهد شد.
– آزمایش کاریوتایپ قبل از ازدواج
آزمایش کاریوتایپ زوجین برای بررسی سازگاری ژنتیکی زن و مرد و احتمال بروز اختلالات ژنتیکی در فرزندان آنها انجام می شود. برخی از مواقع، خصوصا زمانی که ازدواج فامیلی و خانوادگی صورت می گیرد، ممکن است سازگاری ژنتیکی بین افراد وجود نداشته و باعث ایجاد بیماری های ژنتیکی در فرزندان شود.
برخی از اختلالات ژنتیکی با آزمایش کاریوتایپ قبل از ازدواج قابل پیشگیری هستند عبارتند از:
- تالاسمی: یک بیماری خونی که در آن سطح هموگلوبین خون پایین است و باعث کم خونی، خستگی و عفونت می شود.
- سندرم داون: یک اختلال کروموزومی که در آن فرد به جای دو نسخه، در کروموزوم شماره ۲۱ دارای ۳ نسخه است.
- سندرم کلاین فلتر: یک اختلال کروموزومی که باعث مشکلات جسمانی، رفتاری و تولید مثلی می شود.
– آزمایش کاریوتایپ قبل از بارداری
این آزمایش برای بررسی وضعیت کروموزومی زوجین قبل از تصمیم به بارداری انجام می شود. این آزمایش می تواند نشان دهد که آیا زوجین حامل ژن های ناهنجار یا کروموزوم های اضافه و کم که ممکن است به فرزندانشان منتقل شود، هستند یا خیر.
آزمایش کاریوتایپ در بارداری همچنین می تواند علت ناباروری یا سقط مکرر جنین را تشخیص دهد.
برخی از مواردی که آزمایش کاریوتایپ برای بارداری و قبل از بارداری عبارتند از:
· آزمایش کاریوتایپ جنین
آزمایش کاریوتایپ جنین چیست؟ این آزمایش برای بررسی وضعیت کروموزوم های جنین قبل از تولد و پیشگیری از بروز اختلالات ژنتیکی مانند سندرم داون، سندرم ادوارد، سندرم پاتو و غیره انجام می شود.
این آزمایش معمولا با گرفتن نمونه از خون، مغز استخوان، مایع آمنیون، بافت جفت یا سایر بافت ها انجام می شود. برای انجام آزمایش کاریوتایپ جنین باید از روش های زیر استفاده کرد:
- آمنیوسنتز: یک روش که در آن با استفاده از سوزن، نمونه ای از مایع آمنیوتیک که جنین را در رحم مادر احاطه کرده است، برداشته می شود. این روش معمولا بین هفته های ۱۵ تا ۲۰ بارداری انجام می شود.
- نمونه برداری از پرزهای جفت: یک روش که در آن با استفاده از یک سوزن باریک و نازک، نمونه ای از بافت جفت برداشته می شود. این روش معمولا بین هفته های ۱۰ تا ۱۳ بارداری انجام می شود.
· آزمایش کاریوتایپ برای ناباروری
اگر زوجین پس از تلاش برای باردار شدن موفق نشده باشند، ممکن است علت ناباروری در کروموزوم های آنها باشد. برخی از ناهنجاری های کروموزومی می توانند باعث کاهش تولید اسپرم یا تخمک و یا افزایش خطر سقط جنین شود.
نمونه جواب آزمایش کاریوتایپ می تواند ناهنجاری های کروموزومی را در زوجین شناسایی نموده و در صورت لزوم، راه حل های مناسب را پیشنهاد دهد.
· آزمایش کاریوتایپ سقط مکرر
برخی مواقع اگرچه تلاش زوجین برای بارداری نتیجه بخش است، اما بنا به دلایل مختلفی ممکن است جنین بدون اینکه آسیبی ببیند، سقط شود. این آزمایش برای بررسی علت سقط مکرر یا ناخواسته جنین در دوران بارداری انجام می شود.
آزمایش سیتوژنتیک و کاریوتایپ می تواند نشان دهد که آیا جنین ناهنجاری های کروموزومی دارد که باعث عدم رشد یا مرگ شود؟
برخی از ناهنجاری های کروموزومی که باعث سقط جنین می شوند عبارتند از:
- تریزومی: وجود کروموزوم اضافه در یک جفت کروموزوم. مثلاً تریزومی ۱۶، تریزومی ۲۲ و تریزومی X. این ناهنجاری ها معمولا به صورت تصادفی رخ می دهند و در موارد نادر ممکن است به علت جابجایی کروموزوم های والدین باشند.
- مونوزومی: کمبود یک کروموزوم در یک جفت کروموزوم، مونوزومی نامیده میشود. مثلاً مونوزومی ۱۳، مونوزومی ۱۸ و مونوزومی X. این ناهنجاری ها در موارد نادر ممکن است به علت جابجایی کروموزوم های والدین به وجود بیایند.
· آزمایش کاریوتایپ برای نوزاد
این آزمایش برای تشخیص اختلالات ژنتیکی در نوزادان دارای علائم یا مشکلات ژنتیکی انجام می شود. علائم و ناهنجاری های کروموزومی مثل انواع سندرم های داون و ترنر و… در نوزادان، با نقشه برداری ژنتیکی و آزمایش کاریوتایپ نوزاد، قابل تشخیص می باشد.
نمونه آزمایش کاریوتایپ برای نوزادان نیز خون است که توسط کیت های مخصوص خون گیری از نوزاد انجام میشود.
* نمونه لازم برای آزمایش سیتوژنتیک چیست؟
برای انجام آزمایش سیتوژنتیک، نمونه ای از سلول های در حال رشد و تقسیم لازم است. علاوه بر آن، نوع نمونه بستگی به هدف و زمان آزمایش دارد. برخی از نمونه های معمول برای آزمایش کاریوتایپ عبارتند از:
· آزمایش کاریوتایپ خون
این آزمایش با گرفتن نمونه خون و انتقال آن به یک لوله استریل حاوی مواد ضد انعقادی مانند هپارین یا EDTA انجام می شود. از این نمونه، معمولا برای تشخیص ناهنجاری های کروموزومی در آزمایش کاریوتایپ زنان و مردان استفاده می شود.
· آزمایش کاریوتایپ مایع آمنیون
این آزمایش با گرفتن نمونه از مایع آمنیوتیک که جنین را در رحم مادر احاطه کرده است، انجام می شود. این آزمایش معمولا بین هفته های ۱۵ تا ۲۰ بارداری با روش آمنیوسنتز انجام گرفته و برای تشخیص ناهنجاری های کروموزومی در جنین و قبل از تولد استفاده می شود.
· آزمایش کاریوتایپ مغز استخوان
آزمایش سیتوژنتیک مغز استخوان با گرفتن نمونه از مغز استخوان با روش آسپیراسیون یا بیوپسی صورت میگیرد و برای تشخیص ناهنجاری های کروموزومی در سلول های خونی موجود در مغز استخوان استفاده می شود.
· آزمایش کاریوتایپ اسپرم
این نمونه، برای آزمایش کاریوتایپ مردان است و معمولا برای بررسی علت ناباروری یا سقط مکرر جنین در زوجین مورد استفاده قرار می گیرد. در صورتی که اسپرم ها دارای ناهنجاری های کروموزومی مانند تریزومی یا مونوزمی، جابجایی کروموزوم یا حذف شدگی باشند، از این آزمایش میتوان برای تشخیص آنها استفاده کرد.
* آزمایش کاریوتایپ چگونه انجام می شود؟
روش انجام آزمایش کاریوتایپ ممکن است بسته به نوع نمونه گیری متفاوت باشد. برای مثال در آزمایش کاریوتایپ برای مردان، ممکن است نمونه اسپرم یا خون گرفته شود.
در ادامه مراحل کلی فرایند این آزمایش سیتوژنتیک را بررسی میکنیم.
- نمونه گیری: بسته به نوع آزمایش، نمونه می تواند از خون، مغز استخوان، مایع آمنیوتیک، اسپرم یا سایر بافت ها گرفته شود. برای گرفتن نمونه، ممکن است نیاز به رگ گیری و جمع آوری خون، آسپیراسیون، بیوپسی یا روش های دیگر باشد.
- کشت سلولی: سلول های گرفته شده در محیط مناسب قرار می گیرند تا در شرایط آزمایشگاهی تقسیم و رشد کنند. سپس با استفاده از مواد شیمیایی خاص، سلول ها در مرحله معینی از تقسیم سلول (متافاز) متوقف می شوند. در این مرحله، کروموزوم ها به راحتی قابل تشخیص هستند.
- رنگ آمیزی و عکسبرداری: سلول های متوقف شده با رنگ های خاص رنگ آمیزی می شوند تا الگوهای منحصر به فرد کروموزوم ها را نشان دهند. سپس با استفاده از میکروسکوپ، عکس های بزرگ شده از کروموزوم ها گرفته می شود.
- تحلیل و نقشه برداری: عکس های گرفته شده از کروموزوم ها با استفاده از کامپیوتر و نرم افزارها خاص برش داده میشود و به ترتیب اندازه، الگو و مکان سانترومر (قسمت مرکزی کروموزوم) مرتب می شوند. در این فرایند، یک نقشه یا کاریوگرام از کروموزوم ها به دست می آید.
بعد از این مراحل، جواب آزمایش ژنتیک کاریوتایپ با الگوی طبیعی مقایسه میشود تا ناهنجاری های کروموزومی مانند زیاد یا کم بودن تعداد آنها، جابجایی، یا حذف کروموزوم ها شناسایی می شود.
* شرایط آزمایش ژنتیک کاریوتایپ
ممکن است سوال شود که آیا برای آزمایش کاریوتایپ باید ناشتا بود؟ پاسخ به این سوال عموما خیر است، ناشتایی جزء شرایط آزمایش کاریوتایپ نیست. مگر اینکه پزشک، منحصرا بر اساس شرایط فرد بگوید که آزمایش باید ناشتا انجام شود.
از مهم ترین شرایط آزمایش کاریوتایپ و آزمایش سیتوژنتیک این است که از داروهای آنتی بیوتیک حداقل تا ۱ هفته قبل از آزمایش خودداری کنید. همچنین در صورت استفاده از داروهای اعصاب، بهتر است پزشک خود را در جریان بگذارید.
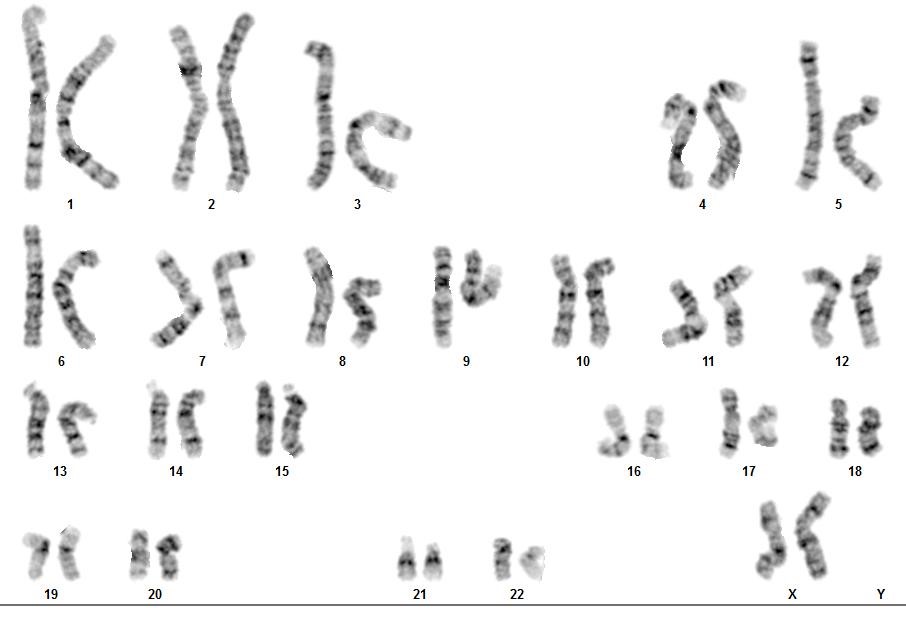
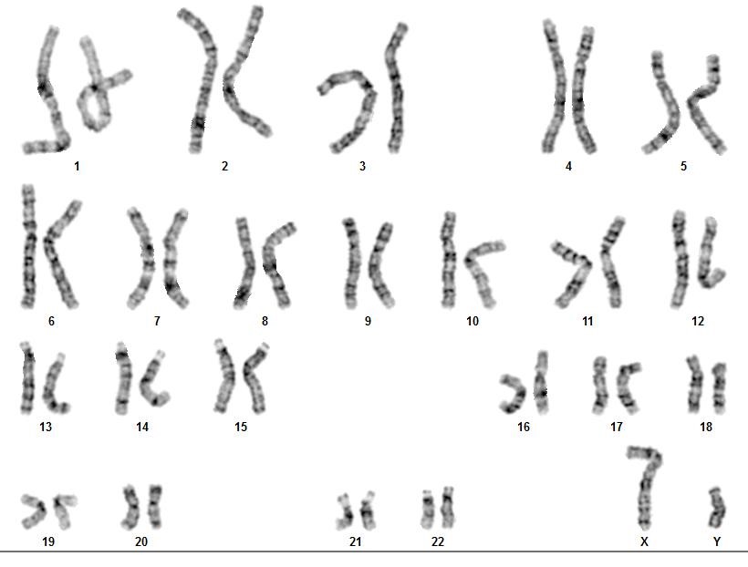
* تفسیر آزمایش سیتوژنتیک
نتیجه آزمایش کاریوتایپ شامل یک کاریوگرام از ۲۳ جفت کروموزوم انسان است. با جواب آزمایش کاریوتایپ، پزشکان اختلالات کروموزومی فرد را مشاهده کرده و می توانند روش های درمانی را بهتر تجویز کنند.
تفسیر آزمایش کاریوتایپ مردان، معمولا شامل بررسی نمونه خون یا اسپرم و تشخیص ناباروری یا مشکلات دیگر است. همچنین تفسیر آزمایش کاریوتایپ در زنان نیز نشان میدهد که ناهنجاری کروموزومی در فرد وجود دارد یا خیر.
پزشکان معمولا برای تفسیر آزمایش کاریوتایپ، جواب آزمایش را با نمونه های آزمایش کاریوتایپ نرمال مقایسه می کنند تا هر یک از ناهنجاری های زیر را تشخیص دهند:
- تعداد زیاد یا کم کروموزوم ها: اگر فرد دارای بیش از ۴۶ یا کمتر از ۴۶ کروموزوم باشد، ممکن است به برخی از سندروم های ژنتیک مانند سندرم ادوارد، سندرم پاتو و غیره مبتلا شود.
- جابجایی کروموزوم ها: اگر بخش هایی از کروموزوم ها جا به جا شده باشند، احتمال ابتلا به برخی از بیماری های خون مانند سندرم داون، لوسمی، لنفوم و مالتوم وجود خواهد داشت.
- حذف کروموزوم ها: اگر بخش هایی از کروموزوم ها مثلاً در سطح تلومر (قسمت پایانی کروموزوم) یا در سطح سانترومر (قسمت مرکزی کروموزوم) حذف شده باشند، ممکن است به برخی از اختلالات رشد و تکامل مانند سندرم فریاد گربه، سندرم ولف هیرشورن و غیره منجر شود.
اینکه دریافت جواب آزمایش کاریوتایپ چقدر طول میکشد تا حد زیادی بستگی به نمونه دریافتی، آزمایش مدنظر و خود آزمایشگاه دارد. اما معمولا جواب آزمایش سیتوژنتیک معمولا طی ۲ هفته آماده میشود.
* نمونه جواب آزمایش کاریوتایپ و عکس جواب آمنیوسنتز نرمال
یکی از روشهای متداول برای انجام کاریوتایپ، رنگ آمیزی کروموزومها با استفاده از فنوکسی اورانژ است. در این روش، سلولها به وسیله سیتوژنتیک احاطه میشوند و سپس بهمراه یک ماده رنگی کروموزومها رنگ آمیزی میشوند. سپس، با استفاده از میکروسکوپ، کروموزومها مشاهده و تحلیل میشوند. نتیجه آن نیز شامل تصاویر کروموزومها و گزارشی از ساختار و ترتیب آنها است.


* هزینه آزمایش ژنتیک کاریوتایپ
هزینه آزمایش سیتوژنتیک تا حدی بستگی به نوع آزمایش دریافت شده و نمونه گرفته شده دارد. علاوه بر آن، خود آزمایشگاه نیز ممکن است برای آزمایش کاریوتایپ هزینه متفاوتی نسبت به تعرفه رسمی مشخص کند.
هزینه این آزمایش بین ۱ میلیون تا یک میلیون و پانصد هزار تومان متغیر است. در صورتی که زوجین چندین بار سابقه مرده زایی، سقط جنین یا جنین دارای اختلالات کروموزومی باشند، اکثر بیمه های تکمیلی هزینه آزمایش کاریوتایپ را پوشش می دهند.
برای آگاهی از هزینه آزمایش کاریوتایپ به لینک زیر مراجعه کنید:













